Cérebro humano: máquina de ressonância revela 1ª imagem com alta precisão
A Comissão de Energia Atômica da França (CEA) divulgou imagens inéditas de alta precisão do cérebro humano, obtidas através do scanner Iseult, considerada a máquina de ressonância “mais poderosa do mundo“.
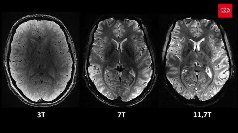
O scanner, com uma intensidade de campo magnético de 11,7 teslas, adquiriu as imagens em apenas 4 minutos, proporcionando detalhes anatômicos e de atividade cerebral que não seriam alcançados em outros aparelhos.
Em comunicado, Anne-Isabelle Etienvre, Diretora de Pesquisa Fundamental do CEA, afirmou que “neurocientistas, físicos, matemáticos e médicos trabalharam juntos para desenvolver ferramentas e modelos que ajudarão a compreender melhor como funcionam os cérebros saudáveis e doentes, expandindo os horizontes das explorações do cérebro humano“.
O chefe do projeto e Diretor de Investigação do CEA, Nicolas Boulant, também disse em comunicado que “com o projeto Iseult, um mundo totalmente novo se abre diante dos nossos olhos e estamos entusiasmados em explorá-lo. Ainda precisamos de vários anos de investigação para desenvolver e melhorar os nossos métodos de aquisição e garantir que os dados tenham a mais alta qualidade possível“.
Qual o objetivo da máquina?
O projeto Iseult representa um avanço significativo que promete abrir novas possibilidades de pesquisa nos próximos anos. As imagens obtidas têm potencial para auxiliar na detecção de doenças neurodegenerativas, como Alzheimer e Parkinson.
Este feito possibilita o estudo de cérebros saudáveis e doentes para melhorar a compreensão sobre seu funcionamento, permitindo a descoberta de novos detalhes relacionados à anatomia, conexões e atividade.
Além disso, permitirá também a detecção de elementos químicos que são desafiadores de capturar em campos magnéticos menos potentes que o Iseult, visando avaliar com precisão sua eficácia no cérebro, como o lítio, um componente presente em medicamentos utilizados no tratamento de transtornos bipolares.
“Nosso objetivo é investigar doenças neurodegenerativas até 2026-2030, bem como outras doenças que se enquadram mais na psiquiatria, como esquizofrenia e transtornos bipolares. As ciências cognitivas também terão uma importância fundamental na nossa investigação“, destacou Nicolas Boulant.

Compartilhe: